La fibrosis pulmonar idiopática (FPI) es una de las enfermedades que está dentro del grupo de enfermedades pulmonares intersticiales difusas (EPID).

La fibrosis pulmonar idiopática (FPI) es una de las enfermedades que está dentro del grupo de enfermedades pulmonares intersticiales difusas (EPID). Merece una mención aparte por ser una de las formas más frecuentes de enfermedad fibrosante estimándose su incidencia global de 1-13 casos por 100.000 habitantes.
Suele afectar a varones entre la sexta y séptima década. En algunos casos de forma familiar su aparición puede estar alrededor de los 50 años o menores.
Al recibir la palabra idiopática, quiere decir que no hay causa conocida de esta enfermedad.
La mayoría de los pacientes van a tener síntomas de disnea de esfuerzo y tos.
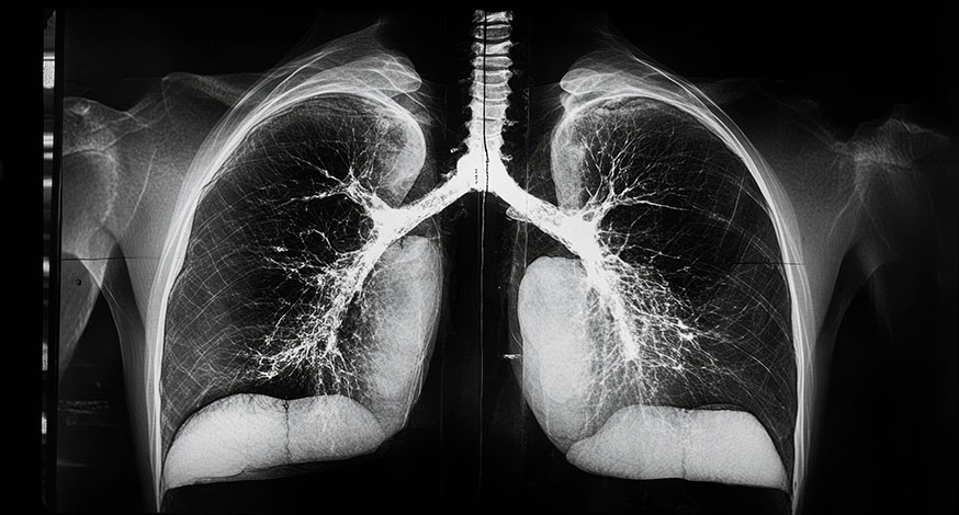
En el estudio realizado es fundamental el TAC, ya que, si existe una imagen radiológica compatible, sin reconocer otra causa, puede ser suficiente para el diagnóstico. En algunos casos será necesario la valoración en un comité multidisciplinar para plantear la necesidad de biopsia quirúrgica pulmonar.

Aunque es una enfermedad por definición irreversible y progresiva, cada paciente va a evolucionar de una manera. No existen marcadores a la hora del diagnóstico para predecir pronóstico. Su neumólogo tras el diagnóstico del caso, le planteará opciones terapéuticas (fármacos como pirfenidona o nintedanib) y según las pruebas del seguimiento (análisis, pruebas de función respiratoria, imágenes radiológicas) le irá informando de su evolución.

@riojasalud
Riojasalud
Riojasalud.es